أسباب تسوس أسنان الأطفال وطرق الوقاية والعلاج ::
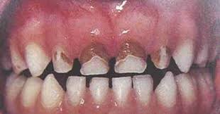
تسوس الأسنان مرض خطير على الأسنان , يؤدي إلى تنخر جسم السن
وتآكله بفعل بعض الجراثيم التي توجد بشكل طبيعي في فم الطفل.
أسباب التسوس
- ضعف الجسم العام.
- تناول المواد النشوية بكثرة كالأرز والخبز والبطاطا.
- الإكثار من تناول الطفل للحلويات والبسكويت والشوكولاتة بين وجبات
الطعام.
- التغذية غير المتوازنة، وخاصة نقص الحديد والكالسيوم والفوسفور من
غذاء الطفل.
- عدم الاعتناء بنظافة أسنان الطفل وترك فتات الأطعمة بينها لاعتقاد الأهل
الخاطئ أنها ستسقط فيما بعد إن كانت الأسنان اللبنية.
الأعراض
يبدأ تسوس الأسنان دون ألم فلا يشعر به الطفل أو الأم ، أما في المراحل المتقدمة
يؤدي المرض إلى تكون خراجات صغيرة في جذر السن أو اللثة تسبب آلاما مزعجة
وتصبح رائحة فم الطفل كريهة.
وتبدأ صحة الطفل بالتدهور ، فيصاب بفقد الشهية واضطرابات هضمية ، وقد يمتد
الالتهاب إلى عظم الفك فيتورم وترتفع الحرارة.
ويبدأ تسوس الأسنان اللبنية بين السنة الرابعة والثامنة ، أما الأسنان الدائمة فيكثر
حدوث التسوس فيها بين السنة الرابعة عشرة والثامنة عشرة.
الوقاية
يجب ألا تهمل الأسنان اللبنية وأن يعتني بنظافتها ، لأن أية إصابة في جذورها تسبب
بيئة غير ملائمة لظهور الأسنان الدائمة ، كما أن السقوط المبكر للأسنان اللبنية
يسبب تشوهات في ظهور الأسنان الدائمة ، كما يجب الاعتناء بتغذية الطفل خصوصا
فيما يتعلق بنمو الأسنان وبنيتها.
المعالجة
يجب أن تعالج الأسنان اللبنية من قبل أخصائي في طب الأسنان , فيستأصل الفاسد
ويعالج المرض قبل انتشاره بمداواة بدء التسوس وإعطاء المضادات الحيوية والمواد
الدوائية الضرورية لذلك , خاصة الفيتامين أ الموجود في السمك والكالسيوم
والفوسفور ، أما معالج تسوس الأسنان الدائمة يجب أن يستشار من أجلها طبيب الأسنان
تسوس الأسنان مرض خطير على الأسنان , يؤدي إلى تنخر جسم السن
وتآكله بفعل بعض الجراثيم التي توجد بشكل طبيعي في فم الطفل.
أسباب التسوس
- ضعف الجسم العام.
- تناول المواد النشوية بكثرة كالأرز والخبز والبطاطا.
- الإكثار من تناول الطفل للحلويات والبسكويت والشوكولاتة بين وجبات
الطعام.
- التغذية غير المتوازنة، وخاصة نقص الحديد والكالسيوم والفوسفور من
غذاء الطفل.
- عدم الاعتناء بنظافة أسنان الطفل وترك فتات الأطعمة بينها لاعتقاد الأهل
الخاطئ أنها ستسقط فيما بعد إن كانت الأسنان اللبنية.
الأعراض
يبدأ تسوس الأسنان دون ألم فلا يشعر به الطفل أو الأم ، أما في المراحل المتقدمة
يؤدي المرض إلى تكون خراجات صغيرة في جذر السن أو اللثة تسبب آلاما مزعجة
وتصبح رائحة فم الطفل كريهة.
وتبدأ صحة الطفل بالتدهور ، فيصاب بفقد الشهية واضطرابات هضمية ، وقد يمتد
الالتهاب إلى عظم الفك فيتورم وترتفع الحرارة.
ويبدأ تسوس الأسنان اللبنية بين السنة الرابعة والثامنة ، أما الأسنان الدائمة فيكثر
حدوث التسوس فيها بين السنة الرابعة عشرة والثامنة عشرة.
الوقاية
يجب ألا تهمل الأسنان اللبنية وأن يعتني بنظافتها ، لأن أية إصابة في جذورها تسبب
بيئة غير ملائمة لظهور الأسنان الدائمة ، كما أن السقوط المبكر للأسنان اللبنية
يسبب تشوهات في ظهور الأسنان الدائمة ، كما يجب الاعتناء بتغذية الطفل خصوصا
فيما يتعلق بنمو الأسنان وبنيتها.
المعالجة
يجب أن تعالج الأسنان اللبنية من قبل أخصائي في طب الأسنان , فيستأصل الفاسد
ويعالج المرض قبل انتشاره بمداواة بدء التسوس وإعطاء المضادات الحيوية والمواد
الدوائية الضرورية لذلك , خاصة الفيتامين أ الموجود في السمك والكالسيوم
والفوسفور ، أما معالج تسوس الأسنان الدائمة يجب أن يستشار من أجلها طبيب الأسنان
انا اسمي سمراء من صنعاء اليمن ممكن ايملك انا رنيت عليك تكراراً ومرراً .. اريد التواصل مع حضرتك انا عمري 24 سنة من عائله كبيرة باليمن
ردحذفانا اسمي سمراء من صنعاء اليمن ممكن ايملك انا رنيت عليك تكراراً ومرراً .. اريد التواصل مع حضرتك انا عمري 24 سنة من عائله كبيرة باليمن
ردحذفانا اسمي سمراء من صنعاء اليمن ممكن ايملك انا رنيت عليك تكراراً ومرراً .. اريد التواصل مع حضرتك انا عمري 24 سنة من عائله كبيرة باليمن
ردحذفانا اسمي سمراء من صنعاء اليمن ممكن ايملك انا رنيت عليك تكراراً ومرراً .. اريد التواصل مع حضرتك انا عمري 24 سنة من عائله كبيرة باليمن
ردحذفنادية من المنصوره كيفك يادكتور هاني انا رنيت عليك امس في تلفونك اللي على الموقع مش هو 0096560735474 صح من فضلك رد عليه ضروررررررررررررررري
ردحذفنادية من المنصوره كيفك يادكتور هاني انا رنيت عليك امس في تلفونك اللي على الموقع مش هو 0096560735474 صح من فضلك رد عليه ضروررررررررررررررري
ردحذفاسماء من المغرب ممكن نتواصل رقمي هو 00212610952007
ردحذفعلياء من تونس الخضراء ممكن ايملك او الفيس بوك او الاسكاي للتواصل الجاد.. علياء
ردحذف